Skocz do zawartości

MarcinS

Forumowicz
  • Liczba zawartości

    808
  • Rejestracja

  • Ostatnia wizyta

Zawartość dodana przez MarcinS

  1. Mi też się bardzo podoba zdjęcie ze szczupakiem, dobry moment uchwyciłeś. Jakie rośliny występują w tle tego zdjęcia? Jakieś glony czy rośliny wyższe?
  2. MarcinS

    Dobór zasilania

    Jeżeli wyszło 244 V to ja bym jednak zredukował zestaw o parę diód i zastosował dwa zasilacze. Jeśli się całość sprawdzi wtedy można kupić następny i rozbudowywać.
  3. MarcinS

    Dobór zasilania

    Policz sobie sam: czerwona dioda ma ok 2,4 V (niby2,2-2,4 ale liczmy z"górką") biała/niebieska ma ok 3,2 V Teraz liczysz: liczba_czerwonych*2,4+liczba_niebieskich*3,2+liczba_białych*3,2 całość nie może przekroczyć 120, zakładając, że chcesz użyć tego zasilacza zailacz
  4. Też uważam ze jeśli to jest skroplona para wodna to się nadaje. Dla pewności możesz położyć kilka kropli takiej wody na szybę/coś przezroczystego, poczekać aż odparuje i zobaczysz czy zostaje osad. Dla porównania zrób tak samo z wodą kranową/destylowaną i będziesz miał porównanie. Najpewniejszy byłby pomiar przewodnictwa konduktometrem ale zakładam że nie masz do niego dostępu.
  5. MarcinS

    Dobór zasilania

    Mam u siebie dokładnie taki zasilacz na 33 diody i jest ok, działa, specjalnie się nie grzeje. Teoretycznie można by tym zasilić nawet 40 diód....pod warunkiem że wszystkie będą czerwone. Z drugiej strony samych niebieskich lub białych "wejdzie" tylko 30. Przy odpowiedniej kombinacji czerwone/niebieskie/białe taki zasilacz 30 diód spokojnie pociągnie i będzie jeszcze trochę zapasu.
  6. MarcinS

    Nowe roślinki, ocena

    hmmm.... umiarkowane podlewanie i półcień dla kapturnicy? nie brzmi to sensownie. Ogólnie obecnie nie jest zbyt dobry czas na zakup muchołówek i kapturnic - jedna i druga powinna teraz zimować.
  7. 2 razy po 14 diód brzmi sensownie, o ile rośliny nie będą oświetlane ze zbyt wysoka (niestety nie wiem jaka jest optymalna wysokość). A czemu niesymetryczne odbłyśniki? Nie mam pojęcia jak to będzie działało, ja używam symetrycznych.
  8. 150 cm2 to powierzchnia terrarium? Chyba coś źle policzyłeś bo to byłby np prostokąt o powierzchni 10X15 cm czyli mało. Przy długości terrarium 50cm musiałoby mieć szerokość 3 cm Chyba że chodzi o 28 diód na radiator 150cm2 - trzeba by użyć dobrego wiatraczka. Co do wpływu diód na dzbaneczniki to trudno mi cokolwiek powiedzieć. Mam tylko ventrate i wygląda tak: rośnie na samym brzegu i w rogu terrarium, czyli w dość słabo oświetlonym miejscu.
  9. Wg pomiaru z dzisiaj, okno zachodnie, całkowite zachmurzenie pokazuje ok 2200 luxów. W bezpośrednim słońcu pokazuje 10 000 bo do tylu ma zakres pomiaru. Gdzieś czytałem że w pogodny dzień, w południe, w bezpośrednim słońcu natężenie światła to ok 100 000 luxow. Z tym, ze światło słoneczne ma takie spektrum: Długości fali najlepsze dla roślin (ok 450 nm i 660 nm) są raczej słabo reprezentowane a najwięcej jest światła zielonego, najmniej roślinom potrzebnego. Diody dają głównie 450 i 660 więc trudno porównać 2200 luxów w pochmurny dzień z 2200 luxów z diód. @ Scavell 14 diód na 60 cm terrarium jest dla tłustoszy a one potrzebują trochę mniej światła niż rosiczki i muchołówki. @ satan123666 żarówka pewnie będzie dobra ale bez białego światła rośliny będą wyglądały jakby były czarne.
  10. @satan123666 Tego typu strony (mimo przedmiotu uprawy o wątpliwej legalności ) mają duże walory informacyjne. Piszą to praktycy, którzy chyba najlepiej wiedzą jakie dobrać oświetlenie, jaki nawóz, środek ochrony roślin itp. Też korzystałem z takich stron przy budowie oświetlenia. Co do panelu jaki proponują to jest dobry, z tym że ja bym nie kupował tak drogich diód. @Scavell Diody trochę się grzeją. Przy przylutowaniu diody tylko do takiej bazy link całość szybko staje się gorąca i prawdopodobnie grozi spaleniem diody. Mimo tego, ze diody są najsprawniejszym źródłem światła to wciąż przekształcają na energię tylko około 1/6 energii elektrycznej, reszta jest wydzielana jako ciepło. Dodatkowo to ciepło jest wydzielane na bardzo małej powierzchni. Trzeba dać pastę termoprzewodzącą miedzy diodę a bazę a potem przykleić bazę do większego radiatora klejem termoprzewodzącym. Inaczej odprowadzanie ciepła będzie nieskuteczne. U mnie za główny radiator robi odbłyśnik od świetlówki. W przypadku 33 diód na 90 cm odbłyśnika potrzebna jest dodatkowa powierzchnia oddawania ciepła albo wiatraczek. Przy 14 diodach na 60cm odbłyśnika nie potrzeba już nic więcej bo całość nie jest gorąca. Termowyłącznika nie stosowałem. Jeśli kupisz kabel przeznaczony dla 220v to w zupełności starczy do łączenia diód. Na koniec kilka aktualnych zdjęć: Tłostosze pod ledami, raczej się nie wybarwiają ale rosną intensywnie: skałka z tłustoszami, obsadzona niedawno więc jeszcze są małe Smartfony mają często czujnik intensywności światła. W moim (LG G2) też jest i można taką intensywność zmierzyć w luxach. Zmierzyłem intensywność światła pod diodami. Myślę ze pomiar jest średnio dokładny i może nie być porównywalny między różnymi urządzeniami, ale lepszy taki niż żaden. Terrarium z rosiczkami/muchołowkami - pod diodami ok 9000 luxów, na brzegu akwarium ok 2000 luxów (wciąż wystarczająco, żeby rośliny rosły a nawet do lekkiego wybarwienia muchołówki). U tłustoszy - pod diodami ok 4000 luxów, na brzegu terrarium ok 2000-2500 luxów.
  11. U mnie w terrarium 60x30x30cm mam 14 diód 1W i dla tłustoszy jest ok. W drugim, większym 90x45x30 cm są 33 sztuki diód. Rośliny rosną znacznie lepiej niż pod świetlówkami (możesz znaleźć mój temat o ledach, są tam przykładowe zdjęcia i trochę techniki). Przewagą diód jest to, że dają dokładnie takie światło jakie jest najbardziej przydatne dla fotosyntezy. Są też nieco wydajniejsze niż świetlówki ale tu różnica nie jest duża. Myślę, ze 2 żarówki ledowe po 10W na Twoje terrarium powinny wystarczyć, będzie jednak problem z równomiernością takiego oświetlenia: albo dużo światła Ci ucieknie na boki poza terrarium, albo rogi będą niedoświetlone. Mała uwaga - jeżeli kupisz ledy bez białego koloru to rośliny będą wyglądały jakby były czarne.
  12. Bardzo fajne wzory w kształcie piorunów/dendrytów. Wiesz może w jaki sposób coś takiego powstaje?
  13. Wielki pozytyw za udany zakup tłustoszy. Zdrowe, dobrze zapakowane i dużo :)

  14. W tym roku sprawdzam co się stanie z muchołówkami bez okresu spoczynku, przynajmniej przez jeden rok. Część muchołówek zimuję w lodówce (jeśli się uda to się podzielę wynikami), część jest doświetlana i rośnie dobrze, nie widać skutków braku spoczynku. Oczywiście nie wykluczam, ze pojawią się takie na wiosnę. przykładowa muchołówka bez zimowania: Kiedyś miałem trochę prostych gatunków rosiczek na uczelni. Oświetlenie było podłączone pod programator czasowy, który źle ustawiłem i się nie wyłączał. Przez kilka miesięcy rosiczki miały 24 h światła na dobę, nie miało to widocznego wpływu na rośliny. Może nie jest to brak zimy ale jako anomalię pogodową chyba można zakwalifikować
  15. Bardzo ciekawie, przydatne informacje. Przedtem tłustosze rosły u mnie raczej marnie, dzięki Tobie ponownie się nimi zainteresowałem. Po zastosowaniu porad z tematu rosną aż miło patrzeć Chylę czoła przed dociekliwością, systematycznością i chęcią dzielenia się wiedzą z innymi.
  16. Drosera nitidula x occidentalis Casio zr410
  17. Super rośliny, świetne zdjęcia! Podziwiam Cię za wielkość kolekcji i wygląd roślin. Kiedy widzę, że coś nowego wrzucasz do swojego tematu to z góry wiem, że będzie na co popatrzeć
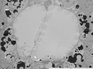
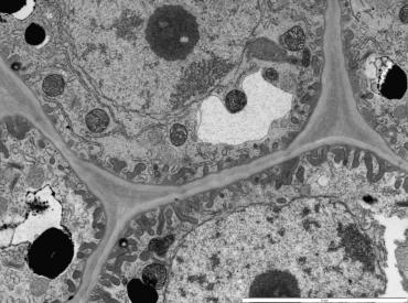
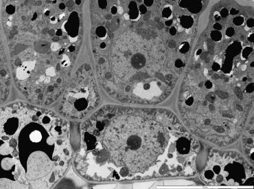
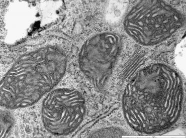
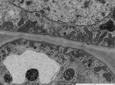
  18. Kiedyś zrobiłem trochę zdjęć przekrojów poprzecznych włosków gruczołowych rosiczki przylądkowej. Zdjęcia wykonane są w transmisyjnym mikroskopie elektronowym (TEM), dlatego są czarnobiałe. W takim mikroskopie obszary ciemne to te, które zatrzymują elektrony, jasne to takie, które elektrony przepuszczają. Na zdjęciach czarne pęcherzyki zawierają prawdopodobnie substancje tłuszczowe - tłuszcze w TEM wychodzą czarne. Samo zrobienie takich zdjęć to sama przyjemność, za to przygotowanie preparatów już niekoniecznie. Przygotowanie trwa mniej więcej tydzień i wymaga pozbawienia preparatów wody, posługiwania się rakotwórczymi odczynnikami i żywicami, toksycznymi metalami ciężkimi, cięcia preparatów nożami szklanymi a potem diamentowymi. Na końcu otrzymujemy skrawek grubości 3 nm (3 miliardowe metra!), prawie niewidoczny gołym okiem. Wkłada się go do mikroskopu elektronowego w którym panuje próżnia, sama nauka wkładania i wyjmowania preparatu do mikroskopu zajęła mi ponad godzinę Na dole każdego zdjęcia jest pasek ze skalą. Pierwsze "makro" 20 mikrometrów (= 20 milionowych metra). W środkowej części włoska widać wiązki przewodzące 10 mikrometrów: 5 mikrometrów: 2 mikrometry, liczne wrosty ściany komórkowej, dzięki temu jest większa powierzchnia wymiany substancji między komórkami albo na zewnątrz komórki 1 mikrometr - mitochondria, siateczka śródplazmatyczna z rybosomami, aparat Golgiego. Powyżej tego powiększenia zdjęcia traciły mocno na jakości więc dalej nie powiększałem. i jeszcze kilka zdjęć: wiązka przewodząca wewnątrz główki włoska: Na zdjęciach widać przystosowania komórek do intensywnego metabolizmu i pracy wydzielniczej. Widać np. liczne pęcherzyki wydzielnicze, duże jądra komórkowe z nieskondensowaną chromatyną i dużym jąderkiem, liczne wrosty ściany komórkowej wspomagające to wydzielanie, duże mitochondria.
  19. Po ok 5 tygodniach od ostatnich zdjęć wrzucam kolejne. Rośliny mają teraz ok 8 godzin światła dziennie, co po trochu symuluje zimę. Mieszkając w bloku nie mam możliwości zapewnić niższej temperatury więc chociaż w ten sposób chcę roślinom zasygnalizować że jest zima. Z powodu krótkiego dnia część roślin przyhamowała wzrost, ale nie wszystkie: Drosera indica jest tak wysoka, że gdyby się wyprostowała to wystawałaby sporo ponad źródło światła. W związku z tym rośnie poziomo, trochę z własnego wyboru, trochę jej pomagam: Muchołówka z poprzedniego mojego postu: Cuptrap: D. spatulata
  20. Dla 2 dzbaneczników taki naświetlacz powinien być w porządku. Ojciec ma w warsztacie podobne wynalazki i dają dużo światła. Do rosiczek myślę, że lepiej wziąć wersję 20W, więcej światła nie zaszkodzi a zostanie potencjał na zwiększenie liczby doniczek. Bałbym się trochę parametrów naświetlacza. Niby na aukcji zastrzegają, że podane parametry są prawdziwe ale jakoś niska cena budzi obawy, że mogą być naciągane. tak na marginesie porównywanie intensywności światła na podstawie ilości lumenów może być złudne. Jest to jednostka dostosowana do czułości ludzkiego oka. I tak np. biała dioda LED może mieć jasność np 100 lumenów, niebieska o tej samej mocy 30. Która daje więcej światła? Niebieska! Tylko że ludzki wzrok postrzega niebieską jako ciemniejszą bo jest na taka barwę mniej czuły.
  21. Jeszcze 3 zdjęcia, niestety wszystkie są za duże żeby zmieścić je w jednym poście. Cephalotus, ten sam który pokazałem na wcześniejszych zdjęciach niemalze równo miesiąc temu. Nabrał ładnego koloru i urósł. Jeszcze jedna muchołówka, która składa się praktycznie z samych pułapek i na koniec jedząca obiad Drosera indica
  22. Mała aktualizacja. Muchołówki ładnie się wybarwiają, niektóre wytwarzają liście o bardzo krótkich ogonkach liściowych. np: Widać starsze , długie liście wytworzone zanim roślina miała dostęp do światła z diód. Małe i czerwone pułapki powstały odkąd muchołówka jest doświetlana. Przy innych osobnikach jest jest to aż tak widoczne, aczkolwiek zauważalne. Wybarwienie młodej muchołówki regular form (rośnie na środku akwarium i dostaje najwięcej światła) Regular form rosnący na brzegu akwarium a wiec mający mniejszy dostęp do światła. Znacznie mniej wybarwiona ale rośnie szybko. Drosera sessilifolia Drosera indica. Zaczyna kwitnąć i na koniec nowy projekt z tłustoszami. Akwarium ma wymiary 60x30 cm, 14 diód led 1W. Trudno jeszcze coś powiedzieć jak to się sprawdza, ale wygląda na to, że tłustoszom się podoba.
  23. MarcinS

    Mała lampka do siewek 3W

    Takie oświetlenie powinno być ok. Przy takiej odległości diód od roślin jak pokazane na zdjęciu to rośliny wręcz mogą mieć go początkowo za dużo, o ile wcześniej nie były przyzwyczajone do mocnego światła. Teraz tylko pamiętaj o dokarmianiu siewek i powinny szybko rosnąć
  24. hmmm, możliwe że Twój dzisiejszy gość to Harmonia axyridis, inwazyjna biedronka z Azji. Wchodzi do mieszkań jesienią żeby znaleźć miejsce do przezimowania. Jeśli to ona, to myślę można ją wykorzystać do nakarmienia np dzbanecznika. I dzbanecznik się ucieszy, i nasze rodzime biedronki tez.
  25. Fajna kompozycja! Też będę próbował coś podobnego zrobić bo wygląda to świetnie. Może P. moranensis ma za mało światła i dlatego tak wygląda? Z jednej strony skała mu je zasłania, z drugiej framuga od okna.
×
×
  • Dodaj nową pozycję...

Powiadomienie o plikach cookie

Umieściliśmy na Twoim urządzeniu pliki cookie, aby pomóc Ci usprawnić przeglądanie strony. Możesz dostosować ustawienia plików cookie, w przeciwnym wypadku zakładamy, że wyrażasz na to zgodę.